PITIOSE CUTÂNEA CANINA – RELATO DE CASO
DOI:
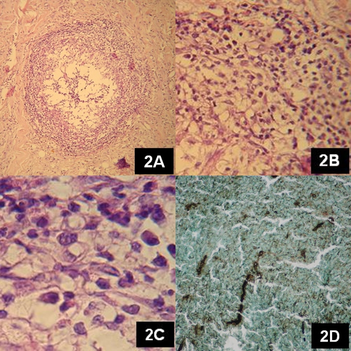
https://doi.org/10.15361/2175-0106.2014v30n2p77-82Resumo
A pitiose é uma enfermidade granulomatosa crônica, principalmente do tecido subcutâneo, causada pelo Oomiceto Pythium insidiosum que acomete humanos e animais. A espécie canina é a segunda dentre as espécies mais acometidas, sendo a manifestação clínica cutânea a forma menos comum. O sucesso da terapia é determinado pelo diagnóstico precoce da doença. A composição da parede celular torna os tradicionais fármacos antifúngicos ineficientes. Atualmente a imunoterapia se tornou uma alternativa terapêutica em potencial, entretanto, a excisão cirúrgica ainda é o principal meio de controle. Descreve-se um caso de pitiose em um cão da raça Pastor Alemão oriundo de área rural, enfocando características clínicas, aspectos histopatológicos e conduta terapêutica, onde pôde-se ressaltar que a pitiose cutânea trata-se de um importante diagnóstico diferencial dentre as dermatopatias piogranulomatosas que acomete cães, principalmente naqueles oriundos de zona rural onde possuem acesso a açudes ou áreas alagadas. De modo geral, o conhecimento do ciclo epidemiológico do P. insidiosum aliados a exames complementares como a histopatologia e imunohistoquímica, são ferramentas imprescindíveis em sua definição diagnóstica.Downloads
Arquivos adicionais
Publicado
17/03/2015
Como Citar
TORRES, L. M., DANTAS, A. K. F. P., SILVA, J. K. C., ARAÚJO, K. N., JUNIOR, F. G., & MENDES, R. S. (2015). PITIOSE CUTÂNEA CANINA – RELATO DE CASO. Ars Veterinaria, 30(2), 77–82. https://doi.org/10.15361/2175-0106.2014v30n2p77-82
Edição
Seção
Small Animal Clinic/Clínica Médica de Pequenos Animais
